|
|
Zu welcher Folgeerscheinung kann ein Eisenmangel im Organismus führen?
Eisenmangel führt zu:
- Blutarmut (Anämie = verminderter Hämoglobingehalt im Blut) mit blasser Haut und Schleimhäuten
- Ermüdbarkeit, Kurzatmigkeit, Schwindel
Wie können Sie die einzelnen Symptome erklären?
Bei Eisenanämie finden sich im Blutausstrich etwas kleinere und Hämoglobin-arme Erythrozyten. Bei der Eisenmangelanämie ist die Hämoglobinbildung vermindert, was zu einer Reduktion des Hämoglobinabbaus führt. Der Bilirubinanfall ist deshalb geringer und das Blutplasma dementsprechend hell (helles Strohgelb).
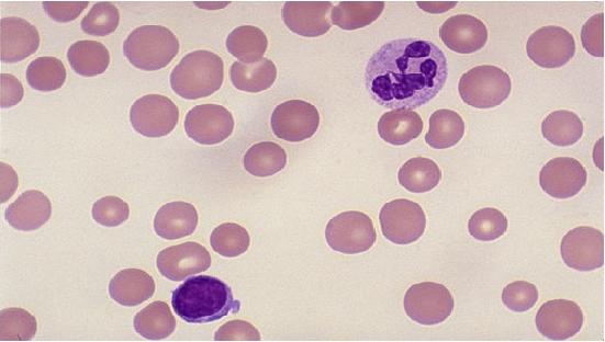
Normaler Blutausstrich
Im Blutausstrich erscheinen die Erythrozyten als runde Scheiben mit einer zentralen Aufhellung. Die Breite der zentralen Aufhellung ist gewöhnlich weniger als ein Drittel des Erythrozytendurchmessers (rund 7 μm). Zwischen den Erythrozyten liegen Blutplättchen und ein neutrophiler Granulozyt (segmentförmiger Kern, eosinophiles Zytoplasma mit feinen staubförmigen, azidophilen Granula)
Eisenmangelanämie
Deutlich sichtbar im Blutausstrich ist die verbreiterte zentrale Aufhellung der Erythrozyten, bedingt durch deren verminderten Hämoglobingehalt (hypochrome EC). Bei der Eisenmangelanämie sind die Erythrozyten kleiner (mikrozytäre Anämie) im Vergleich zu normalen Erythrozyten. Zwischen den Erythrozyten liegen Blutplättchen und ein Lymphocyt (schmaler Zytoplasmasaum; Kern füllt fast die gesamte Zelle aus). Lymphocyten sind kleiner ist als neutrophile Granulozyten (siehe normaler
Blutausstrich).
Bei Mangel an welchen anderen Nahrungsbestandteilen kann es zu einer ähnlichen Störung kommen wie bei Eisenmangel?
Folsäuremangel, Mangel an Vitamin B12
Beide dieser Faktoren sind zur Bildung von Erythrozyten notwending. Folsäure ist ein hitzeempfindliches wasserlösliches Vitamin. Im Stoffwechsel wirken Folsäure und Vitamin B12 eng zusammen. Ein Folsäuremangel führt zu Anämie, Zungenbrennen und kann zu Fehlgeburten oder Fehlbildungen des Embryos (spina bifida) führen.
Vit. B12 (Cobalamin) gehört zu den wasserlöslichen Vitaminen. Vit. B12 ist nur in tierischen Produkten enthalten. Da der Körper in der Leber über erhebliche Reserven verfügt, führt eine fehlende Zufuhr von Vit. B12 beim Erwachsenen erst nach mehreren Jahren zu Mangelerscheinungen.
Makrozytäre Anämie bei Vitamin B12 Mangel (Perniziöse Anämie)
Im Blutausstrich weisen die Erythrozyten unterschiedliche Grösse auf. Deutlich sichtbar sind die teils ovalen, vergrösserten Erythozyten (Makrozyten) und ein hypersegmentierter neutrophiler Granulozyt (oft mit mehr als 6 nukleären Segmenten). Bei diesem Patienten waren alle Blutzellen erniedrigt (Panzytopenie). Bei Folsäuremangel sieht der Blutausstrich ähnlich aus.
Welche Funktionen erfüllen Transferrin, Ferritin und Coeruloplasmin?
Transferrin: Bindung und Transport von Eisen (Fe III) im Blut
Ferritin: Eisenspeicherprotein. Besteht aus 24 Untereinheiten, welche einen kugelförmigen Behälter bilden, in dessen Innern bis zu 4500 Fe-Ionen gespeichert werden. FeIII bildet mit anorganischem Phosphat und Hydroxylionen kleine Kristallite.
Coeruloplasmin (Ferrioxidase-I): Als Oxidase wirksames Plasmaprotein; oxidiert Fe (II) zu Fe (III).
Wirkt auch als Speicher- und Transportprotein für Kupfer.
In welcher Form (Oxidationszahl) ist an Transferrin gebundenes Eisen verfügbar? Was muss also bei der Hämsynthese, d.h. beim Einbau von Eisen in den Protoporphyrinring geschehen?
Transferrin bindet Eisen als Fe(III).
Das Eisen muss für den Einbau in den Protoporphyrinring durch die Ferrochelatase zu Fe(II) reduziert werden.
Die Dissozationskonstante des Transferrin-Fe+3-Komplexes liegt unter physiologischen Bedingungen im Bereich von 10-20M. Die durchgeführte Bestimmung zeigt, dass nur ein Teil des Transferrins im Plasma mit Fe+3 beladen ist. In welchem Bereich liegt demnach die Konzentration von freiem Fe+3 ?
Kd ~ 10-20M = [Tf] • [Fe+3] / [Tf - Fe+3] =( 2/3) / (1/3) • [Fe+3] = 2 [Fe+3]
- [Tf] ~ 2/3 des gesamten Transferrins
- [Tf - Fe+3] ~1/3 des gesamten Transferrins
[Fe+3] = 10-20M / 2 = 6 • 1023 Eisenionen / Mol • 10-20M / 2 = 3 • 103 Eisenionen / l
[Fe+3] = 3 Eisenionen / ml
![]()
|
© bipweb Biochemische Praktika für Studierende der Medizin, Webunterstützung Biochemisches Institut der Universität Zürich, Impressum. letzte Änderung, PI, 26.08.2005 Rückmeldung |
|